All on 6 implanti
All on 6 implanti vam omogućavaju da dobijete fiksnih 12 zuba uz pomoć samo šest implantata koji ih drže za vilicu. Ova tehnika je idealna za pacijente sa nedostatkom kosti ili one koji žele maksimalnu stabilnost i potporu za protezu. Bezbolno rešenje, uz najsavremenije metode. Samouveren, blistavi osmeh kakav dugo niste imali. Zakažite pregled i konsultacije!


Šta su All on 6 zubni implanti?
All on six procedura se zasniva na tome da svih 12 zuba leži na 6 implantata po vilici (za razliku od All on 4 implant procedure gde stomatolozi ugrađuju 4 implantata po vilici). All-on-6 zubni implanti za zube su napredno rešenje za potpunu bezubost, koji vam omogućavaju da povratite funkciju zuba i estetiku vašeg osmeha sa samo šest implantata.
Kada je u pitanju all on 6, na šest implantata se pričvršćuje most koji čine keramičke navlake za zube, pružajući vam prirodan izgled i osećaj kao kod pravih zuba. All-on-6 zubni implanti omogućavaju vam da uživate u prelepom osmehu zuba, bezbrižno jedete, govorite i smejete se.
Kome su namenjeni All on 6 zubni implanti?
Da li sam ja kandidat za All on 6 proceduru?
Ukoliko vam nedostaje više zuba, oboleli su, paradontopatični, klimaju se, bole ili nisu na pravim položajima.
Ukoliko vam nedostatak zuba uzrokuje nelagodnost pri konzumiranju hrane, govoru i u svakodnevnom životu.
Tri jednostavna koraka do ugradnje – All on 6 Beograd!
Online Pregled i Konsultacije
Besplatan i Precizan plan Terapije
Dolazak u Beograd

All on 6 zubni implanti - zašto kod nas?
Mi vam nudimo premium uslugu vrhunskog kvaliteta, uz značajnu uštedu novca - po ceni nižoj do čak 80%u odnosu na ordinacije u drugim delovima Evrope!
ALL on 6 cena

Marco Dental
• Austrija
€15.500• Nemačka
€18.500• Švajcarska
€21.000• Amerika
€25.000
Nudimo sve usluge koje će vam doneti perfektan osmeh!
Marco Dental Tourism stomatološka ordinacija cenovnik - ALL ON 6 cena iznosi samo 5500 eura po vilici, što je čak 80% jeftinije nego u većini drugih evropskih zemalja.
All on 6 cena - naša usluga uključuje:
- Pregled i konsultacije
- Planiranje tretmana
- Ugradnju 6 implantata po vilici
- Privremenu i trajnu protezu
- Kontrolne preglede
Marco Dental Tourism stomatološka ordinacija vam pruža personalizovanu negu i već nakon prvog pregleda ćete dobiti detaljan plan lečenja i preciznu cenu All-on-6 procedure. Cena all on 6 će biti prilagođena vašim specifičnim potrebama i bez skrivenih troškova.
Pozovite nas i zakažite besplatne konsultacije kako biste saznali tačnu cenu po vilici i započeli svoj put ka savršenom osmehu, i postigli savršeno bele i ravne zube! Ukoliko se ne nalazite u Srbiji, pozovite nas i zakažite svoj boravak i lečenja koji vam nudi opcija dentalni turizam!
Naši zadovoljni pacijenti i njihovi prelepi osmesi

Loredana
Uverili su me da će sve proći bezbolno pošto je strah moj najveći neprijatelj. To su i ispunili! Oduševljena sam svojim novim osmehom, postigli su potpuno prirodan osmeh kakav sam oduvek želela.
Od čega se izrađuju All-on-6 implanti?
All-on-6 implanti, kao i All-on-4, se izrađuju od kombinacije sledećih materijala:
- Titanijum - koristi se za izradu samih implantata koji se ugrađuju u viličnu kost, kao i za suprastrukturu - deo koji povezuje implantat sa protezom. Titanijum je biokompatibilan materijal, što znači da se dobro integriše sa kosti i ne izaziva alergijske reakcije.
- Akril ili cirkonijum - proteza koja se pričvršćuje na implante može biti izrađena od akrila (jeftinija opcija) ili cirkonijuma (skuplja, ali estetski superiornija i dugotrajnija opcija).
- Keramika - veštački zubi na protezi se obično izrađuju od keramike, koja imitira prirodan izgled i boju zuba.
Vrste krunica koje se mogu koristiti uz All-on-6:
Kombinacija ovih materijala obezbeđuje optimalnu funkcionalnost, estetiku i biokompatibilnost All-on-6 implantata.
Procedura ugradnje 'all on six' implanta u 2 faze
Pre vašeg dolaska, u dogovoru sa našim Dr Bojanom, dobićete informaciju tačno koliko dana će biti potrebno za vaš rad. Nakon što se sa našim Dr Bojanom dogovorite oko plana terapije i termina dolaska u Beograd, dolazite na prvu fazu rada.
Prva Faza
Trajanje 3 dana
Pauza između faza je od 3 do 6 meseci
Druga Faza
Trajanje 7 dana
Prva faza ugradnje
Za prvu fazu je potrebno samo 3 dana. Na primer - dovoljno je da uzmete jedan slobodan petak i spojite ga sa vikendom, i u ponedeljak ste već na poslu!
Prvi Dan
Dolazak na aerodrom, gde vas očekuje naš profesionalni vozač. Organizovano smeštanje u hotel, koji vam je potpuno besplatno na punom raspolaganju. Upoznavanje sa klinikom i doktorima.
Drugi Dan
Hirurška intervencija koja je garantovano, 100% bezbolna i bezbedna. Izrada privremenih zuba koji će vam omogućiti komfor, funkcionalnost i estetiku tokom perioda integracije implantata i lečenja mekog tkiva.
Treći Dan
Kontrola obavljenog rada i organizovan odlazak na aerodrome.

Posle završetka prve faze, naši stomatolozi su vam i dalje na raspolaganju u bilo koje doba dana i noći – i sve vreme ostaju sa vama u kontaktu, jer nam je vaš oporavak veoma važan. Šest meseci nakon procedure vaši implanti su potpuno integrisani i vi ste spremni za drugu fazu. U dogovoru sa nama, kad god vi to odlučite, započinjemo organizaciju vašeg drugog dolaska.
Druga faza ugradnje
Za drugu fazu je potrebno 7 dana i ona se sastoji se od
Prvi Dan
Dolazak na aerodrom, gde vas očekuje naš profesionalni vozač. Organizovano smeštanje u hotel, koji vam je potpuno besplatno sve vreme na raspolaganju. Upoznavanje sa klinikom i doktorima.
Drugi do šestog dana
Izrada keramičkih krunica uz prethodnu funkcionalnu i estetsku probu na kojoj ćete moći da odaberete svaki detalj vašeg novog osmeha - od boje, preko oblika, pa sve do veličine zuba. Naša najmodernija oprema i laboratorija, koja prati svetske standarde, omogućava vam lep, zdrav i dugotrajan osmeh!
Sedmi Dan
Kontrola rada i organizovani odlazak na aerodrom (uz prethodno prijatno iznenađenje sa naše strane).
Pogodnosti i garancije - 100% udoban boravak
Premium kvalitet uz uštedu novca
Naša stomatološka ordinacija pruža uslugu vrhunskog kvaliteta, po ceni koja je niža čak i do 70% u odnosu na druge ordinacije u Evropi!
Plaćanje po fazama kako bismo rasteretili vaš trošak
Plaćanje naših All on 4 i All on 6 usluga vrši se u skladu sa dvema fazama rada. Prvu polovinu iznosa plaćate pre prve faze, dok drugu polovinu plaćate tek za vreme druge faze - šest meseci nakon završetke prve.
Implantološki pasoš kao garanciju kvaliteta
Radimo sa najboljim svetskim implantološkim kućama, a po završetku procedure obezbeđujemo vam implantološki pasoš kao garanciju kvaliteta ugrađenih implantata.
Individualni pristup
Vaš osmeh je naš prioritet! Naš tim dentalnih dizajnera maksimalno ulaže trud u ispunjenje svih vaših želja i nalaženje najboljeg rešenja za vas.
Dolazak u Beograd i prevoz od i do aerodroma
Zaboravite na brige oko prevoza u nepoznatom gradu! Organizujemo vam komforni prevoz od i do aerodroma. Naš vozač će vas sačekati i bezbedno vas dovesti do hotelskog smeštaja.
Besplatan hotelski smeštaj
Obezbeđujemo vam besplatan i komforan smeštaj u hotelu u blizini naše ordinacije.
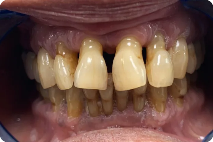
Gallery
All-on-6 results of our dental treatments before and after.
Povećajte kvalitet života!
Individualni pristup svakom pacijentu i situaciji.
Brzo i lako do zdravog i blistavog osmeha!
Najčešća pitanja - All on 6
Da li je All on 6 bezbolna tehnika?
Koliko dugo traje proces ugradnje?
Koliko krunica sadrži ALL ON 6?
Koja je razlika između ALL ON 4 i ALL ON 6?
Glavna razlika između All-on-4 i All-on-6 je broj implantata koji se koriste za podršku fiksnoj protezi:
- All-on-4 - koristi 4 implantata.
- All-on-6 - koristi 6 implantata.
Zbog toga, All-on-6 pruža veću stabilnost i potporu, posebno u slučajevima kada pacijent ima manju gustinu kosti ili kada se koristi teža proteza (npr., od cirkonijuma).
Da li je 6 implanta dovoljno?
Da li svi mogu da stave All on 6?
Kako se fiksira 6 implanta?

Zakažite pregled, i Marco će vam se javiti u najkraćem roku!



