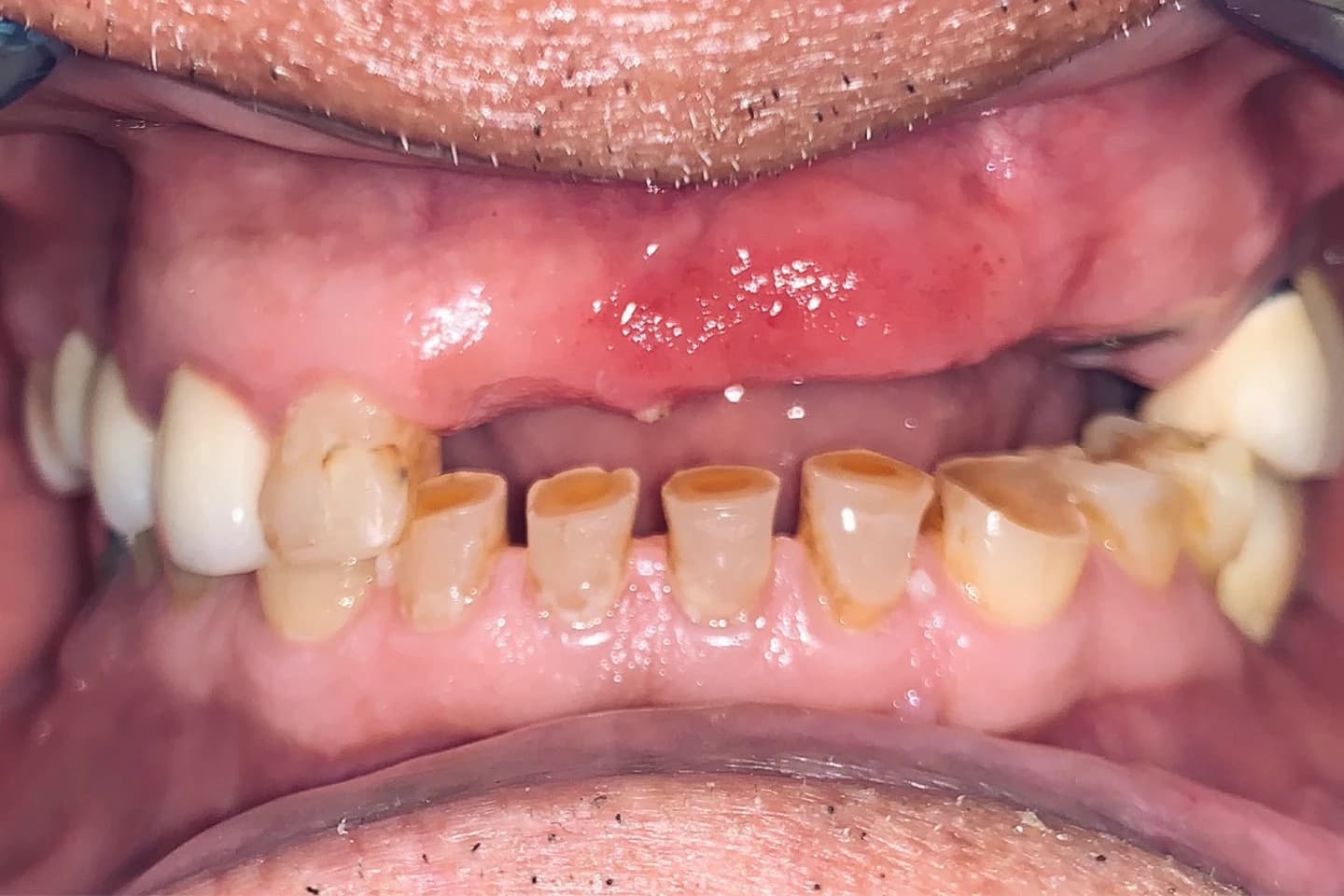
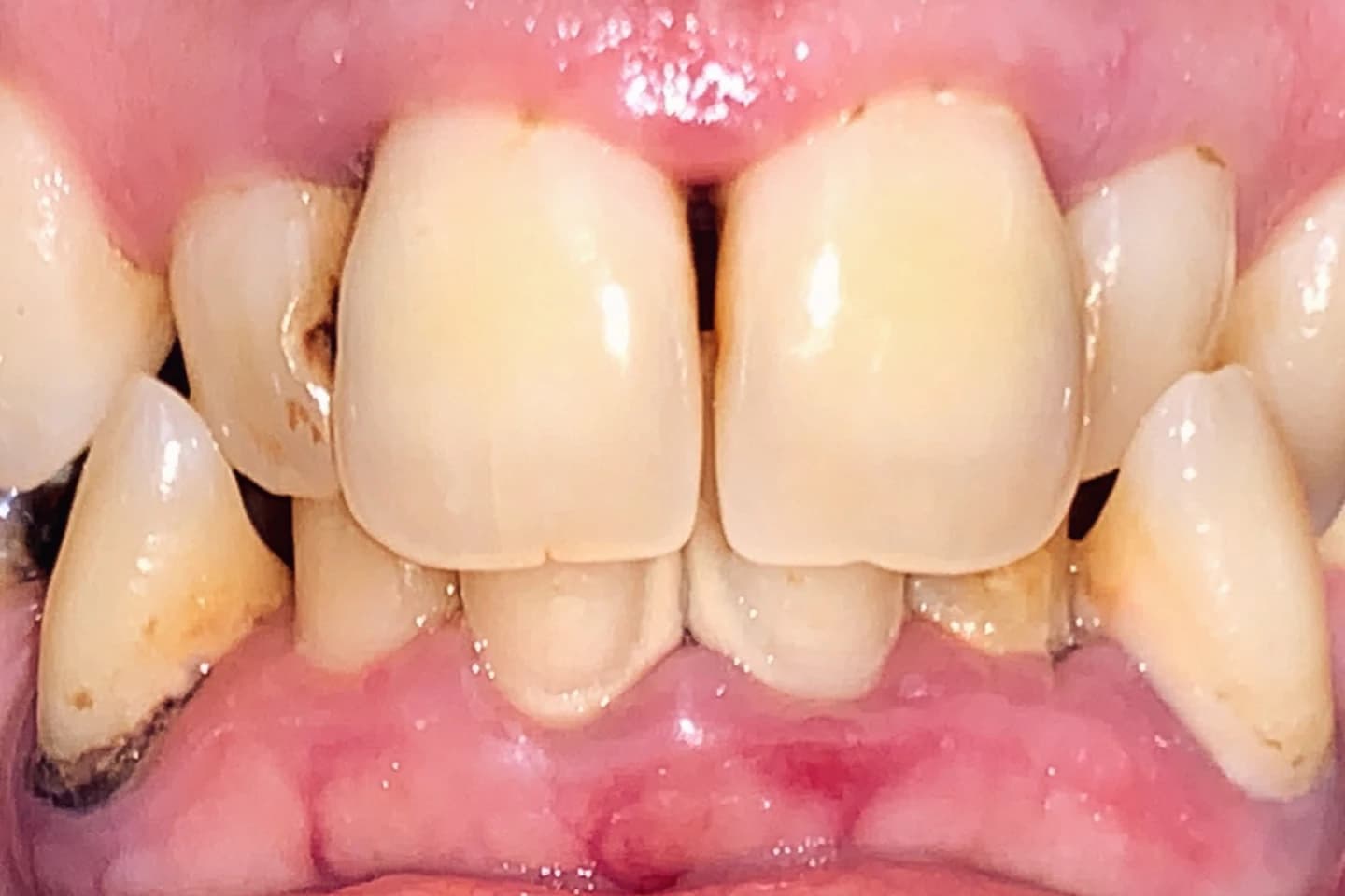
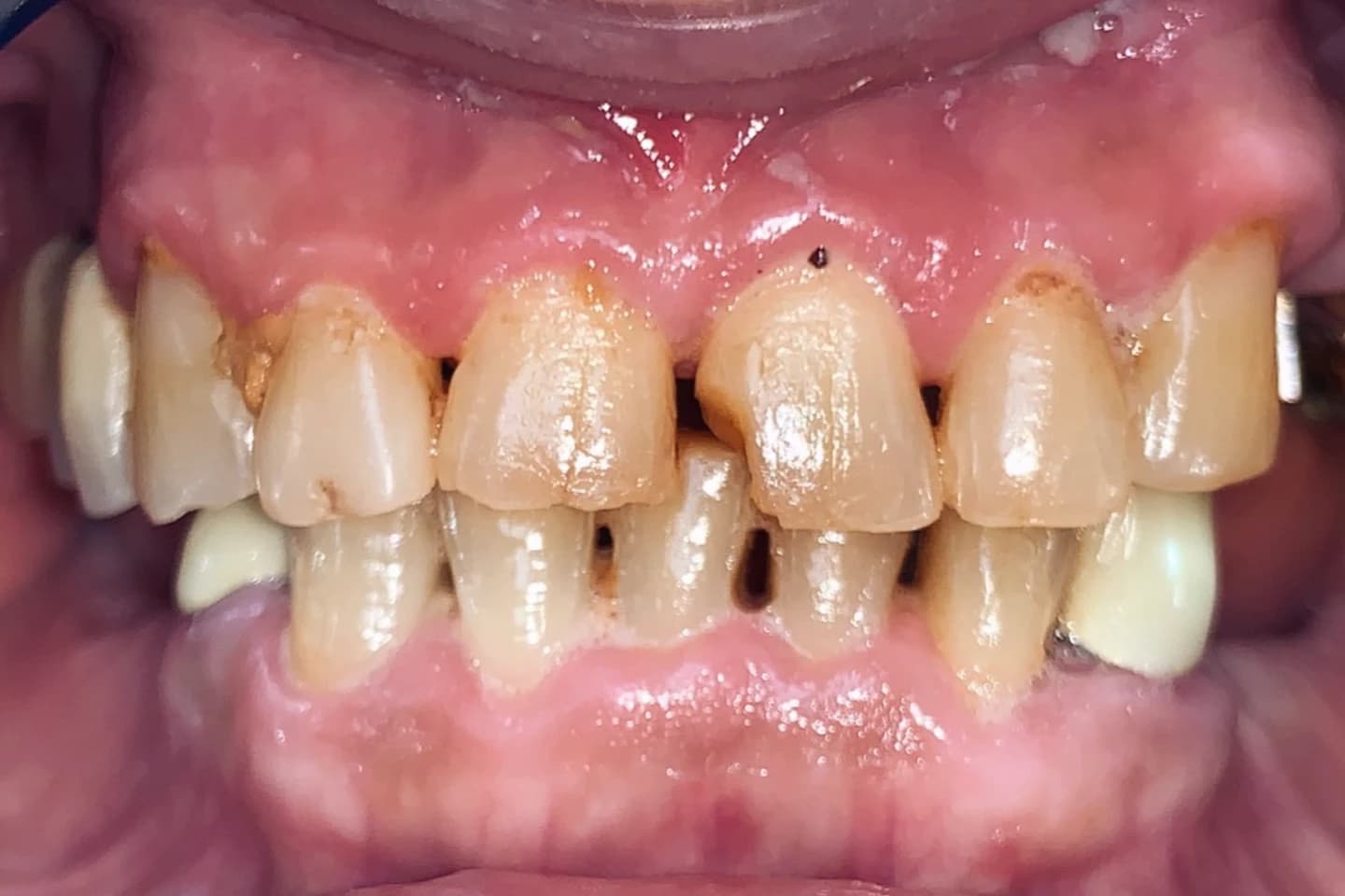
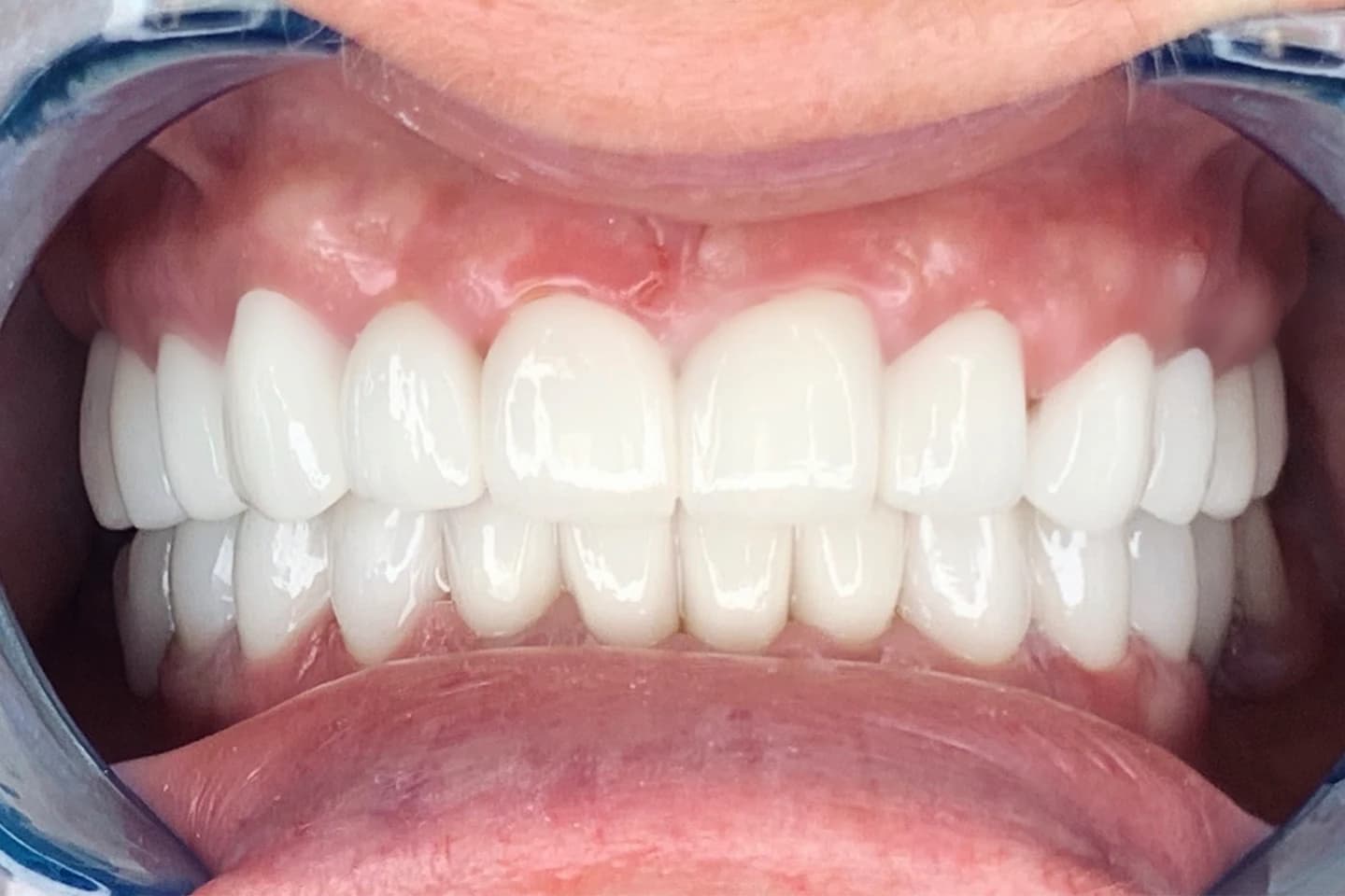
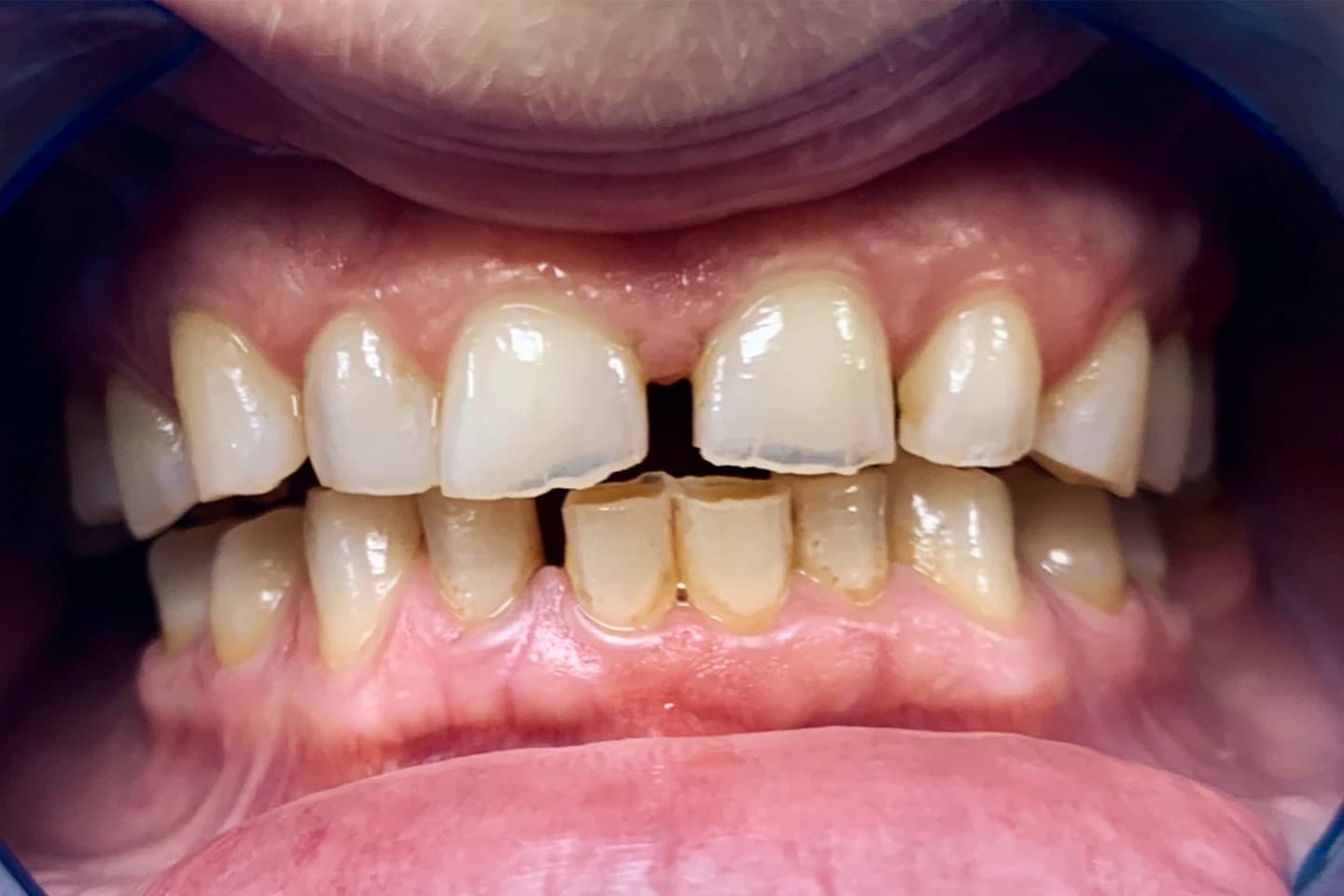
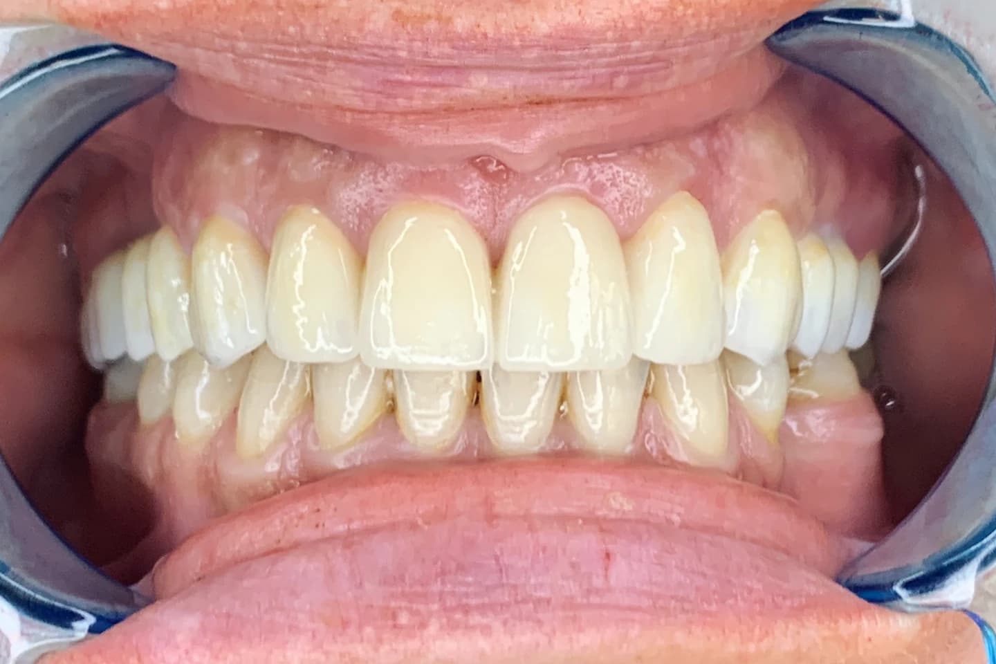
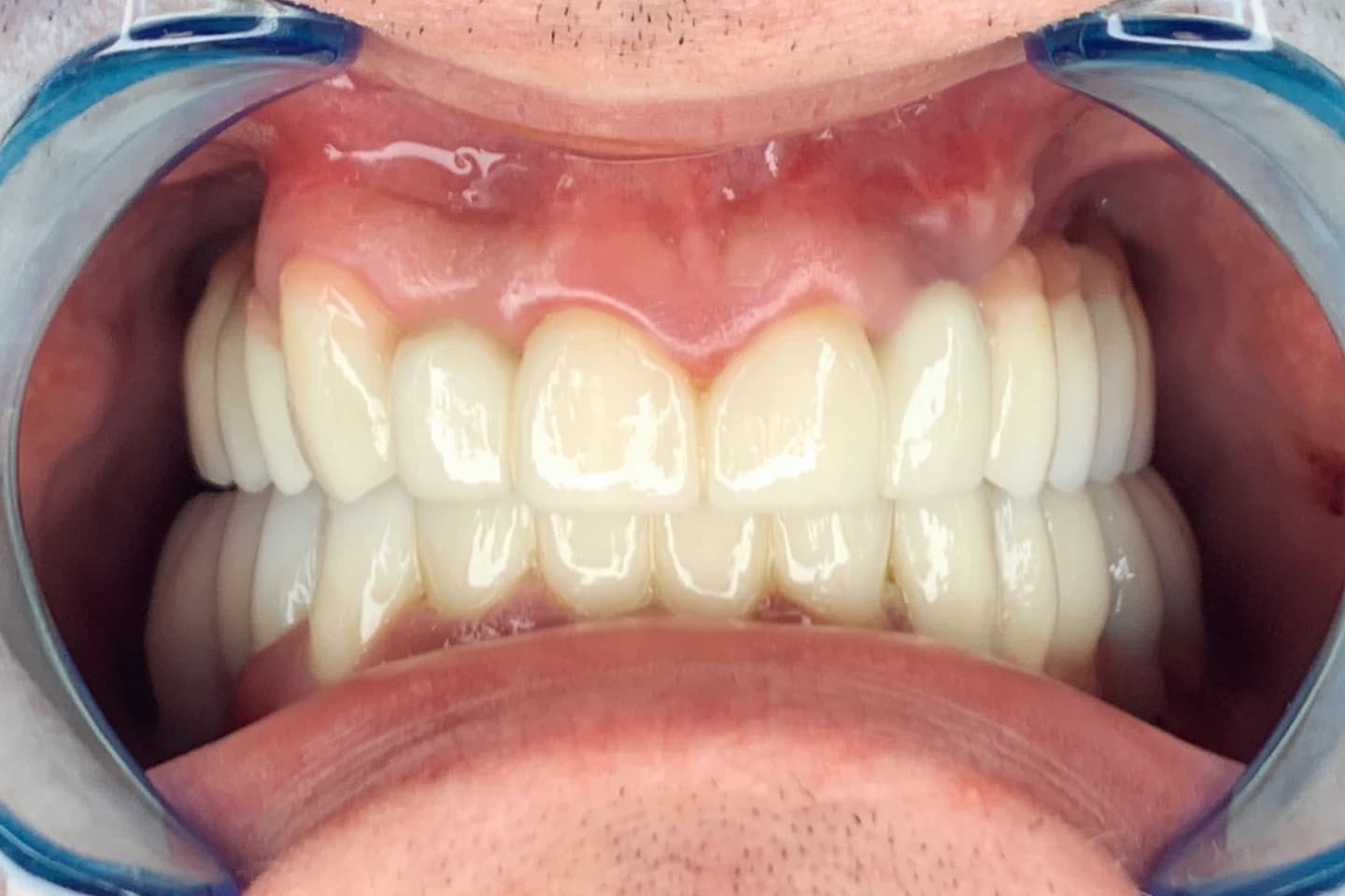
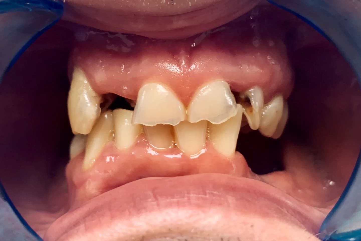
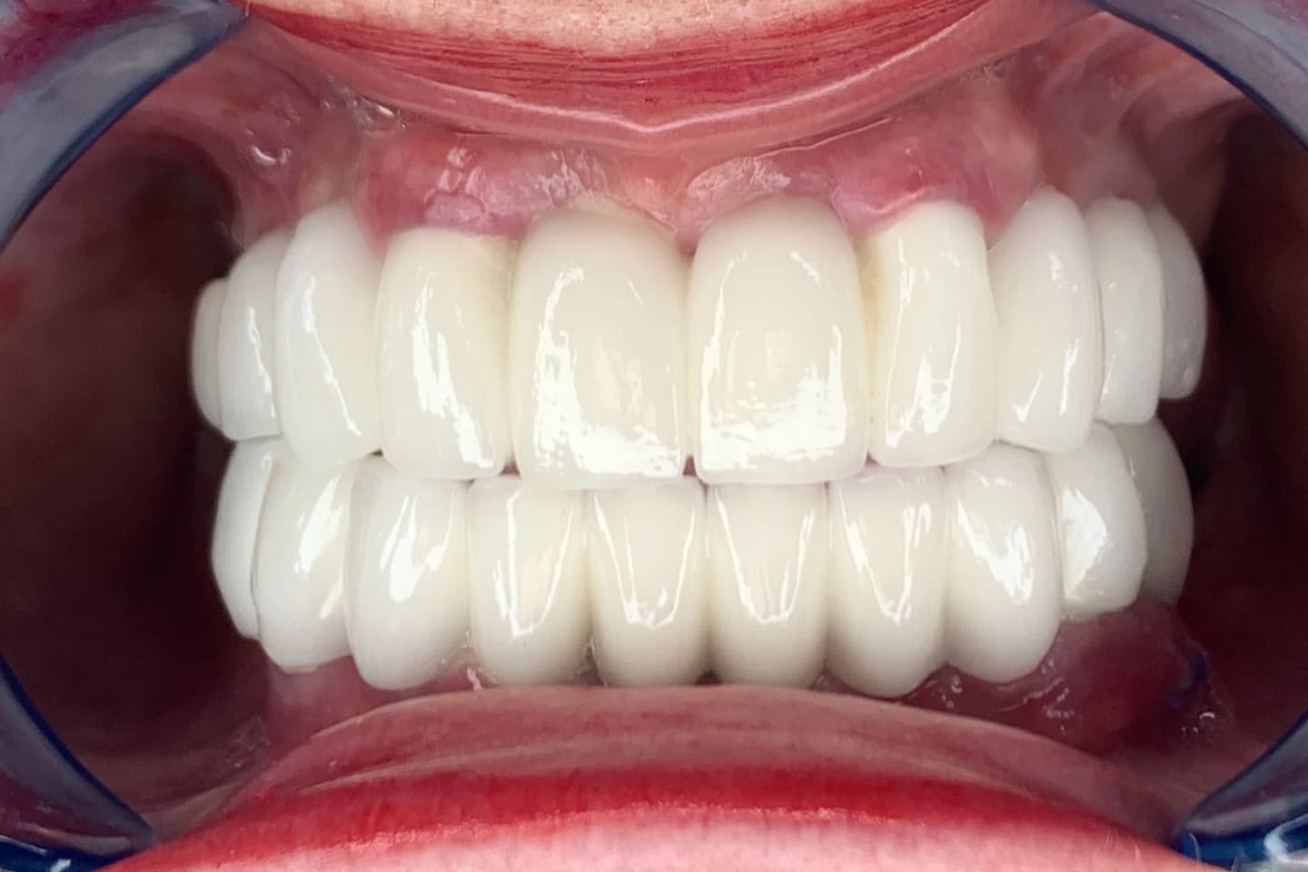
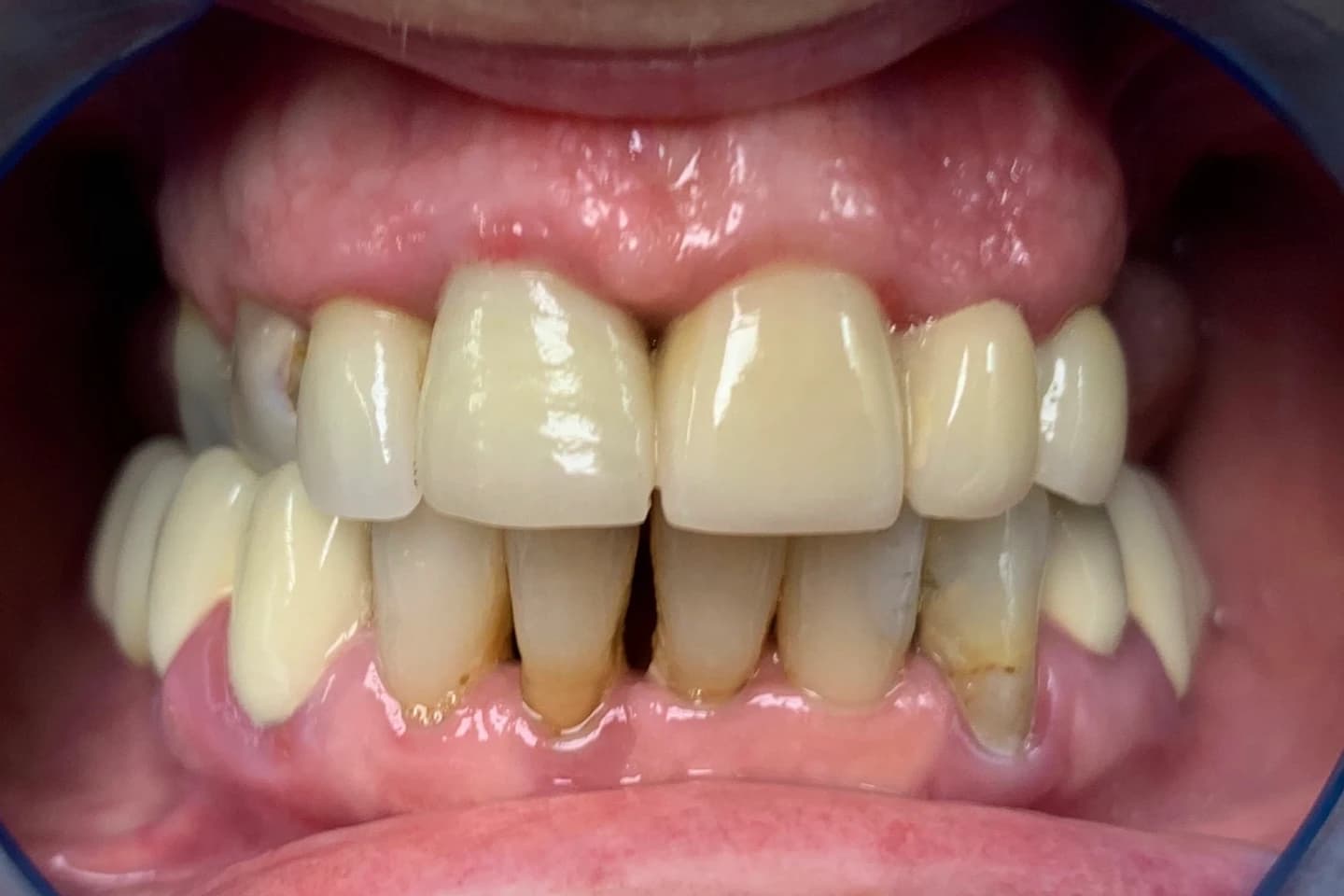
Zubi pre i posle
Pogledajte našu galeriju radova i utiske mnogobrojnih zadovoljnih pacijenata! U ordinaciji Marco Dental Tourism verujemo da osmeh može promeniti sve. Želimo da vam pomognemo da postignete osmeh o kom ste oduvek sanjali. Poslušajte inspirativne priče o transformaciji osmeha naših pacijenata, zajedno sa slikama pre i posle početka lečenja, koje govore više od reči.

Osmeh i oblik zuba slike - pre i posle
Stomatološka ordinacija Marco Dental Tourism svakodnevno stvara neverovatne transformacije osmeha. Pogledajte galeriju naših radova i uverite se u moć stomatologije!
Želimo i vama da pomognemo da postignete savrršen osmeh kada su u pitanju položaj i oblici zuba. Zato smo prikupili inspirativne priče i fotografije zuba naših pacijenata, koje će vam pokazati šta je sve moguće uz stručnost i posvećenost našeg tima.
Implanti - pre i posle
- Pogledajte kako smo pacijentima sa nedostatkom zuba vratili samopouzdanje i funkcionalnost uz pomoć zubnih implantata. Naši radovi jasno pokazuju kako implanti mogu da transformišu vaš osmeh i poboljšaju kvalitet života.
All on 4 - pre i posle
- Otkrijte kako All-on-4 implanti mogu da vam pruže novi osmeh u samo jednom danu! Uverite se u neverovatne rezultate ove metode!
All on 6 - pre i posle
- Uverite se u efikasnost All-on-6 implantata za pacijente sa nedostatkom kosti. Naši radovi će vam pokazati kako ova metoda može da vam pruži stabilan i dugotrajan osmeh.
Krunice za zube - pre i posle
- Pogledajte kako krunice mogu da zaštite i obnove oštećenost kada su u pitanju zubi, vraćajući im estetiku i funkciju. Galerija radova će vas inspirisati da i vi transformišete svoj osmeh.
Metalokeramičke krunice - pre i posle
- Metalokeramičke krunice su pouzdano i pristupačno rešenje za nadoknadu zuba. Uporedite slike i uverite se u njihovu estetsku i funkcionalnu vrednost.
Bezmetalne krunice - pre i posle
- Želite prirodan osmeh bez metalnih ivica? Bezmetalne krunice su idealno rešenje! Pogledajte kako smo transformisali osmehe naših pacijenata.
Cirkonijum krunice - pre i posle
- Cirkonijum krunice - vrhunac estetike i dugotrajnosti. Otkrijte kako ove krunice mogu da vam pruže savršen osmeh koji će trajati godinama.
Fasete za zube - pre i posle
- Korigujte manje nepravilnosti i postignite blistav osmeh uz pomoć faseta. Pogledajte kako fasete mogu da transformišu vaš osmeh u samo nekoliko poseta.
Folije za ispravljanje zuba - pre i posle
- Uverite se u efikasnost folija za ispravljanje zuba, i pogledajte kako mogu da isprave vaš izgled zuba diskretno i bez bolova i nelagode.
Fiksne proteze - pre i posle
- Ispravljajte zube efikasno uz pomoć fiksnih proteza. Pogledajte kako fiksne proteze mogu da vam pruže zdrav i lep izgled zuba na duge staze.
Holivudski osmesi - pre i posle
- Ostvarite svoj san o blistavom izgledu zuba! Galerija radova će vas uveriti da je holivudski osmeh dostupan svima.
Kontaktirajte nas i zakažite besplatne konsultacije ukoliko i vi želite da se ponovo smejete samouvereno - započnite vaš put ka savršenom osmehu!
Povećajte kvalitet života!
Individualni pristup svakom pacijentu i situaciji.
Brzo i lako do zdravog i blistavog osmeha!

Zakažite pregled, i Marco će vam se javiti u najkraćem roku!












































































